病例视频
相关文章
-
学会这5招,可永葆血管年轻!
随着饮食、情绪、生活习惯等逐渐改变,以及遗传因素的影响,现代人动脉粥样硬化性血管疾病如冠心病、脑梗塞、2021-03-23
-
掐人中、掰嘴巴,这样的癫痫急救法是错的丨国际癫痫关爱日
路上突然遇到癫痫患者发作,你会怎么做?是感到恐惧、害怕,唯恐避之不及,还是伸出援助之手,上前施救?掐人中、2020-01-21
-
脱发、发际线后移?8招化解“头顶危机”
文源:北京114预约挂号微信公众号 很多程序员,年纪轻轻就脱发严重,常自嘲“热闹的马路不长草,聪明的脑袋不长2019-09-27
-
三个常做动作危害大脑健康,你却不知道!输液、吃阿司匹林就能预防脑中风?这些错误你经常犯!
警惕导致中风的日常动作 日常生活中我们常做到的一些小动作,比如不正确的按摩、突然间猛烈的回头、以及大力的2018-12-10
-
刚满月婴儿呕吐、脑出血,妈妈是传染源!八成幼儿可能感染这种病毒!
不久前媒体报道,刚满月的男婴小明突然嗜睡、呕吐,家人以为只是肠胃不适,不料,他吐出了血丝和胆汁,小脸、2018-11-26
视力下降、内分泌紊乱需要查头部磁共振
2018-01-25 11:23 作者:三博脑科医院



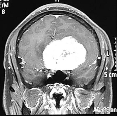
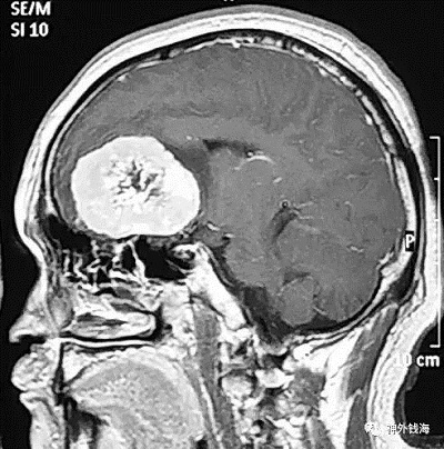
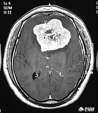
在临床工作中,我经常遇见这样的情况:患者视力一直不好,在眼科检查治疗了很长时间也不见效,眼科也的确没有发现异常情况。还有的患者月经紊乱,或者不孕不育,在妇产科及内分泌科治疗了一段时间,也是没有效果。后查了头部的核磁共振,才发现原来病因在颅内,鞍区已经有了一个很大的肿瘤。手术切除肿瘤以后,原来的眼睛或内分泌问题也逐步恢复了。这就是特别需要引起重视的,即颅内肿瘤可能表现为眼科或妇产科、内分泌科的疾病,如果忽略了头部检查,则可能遗漏了根本的病因,因而疗效只会是暂时的,或者是“久治不愈”。
尽管颅内肿瘤相对于眼科疾病、妇产科疾病及内分泌科疾病的发病率低,相对少见,但是在神经外科住院患者中,很大一部分患者以此为主要症状或首发症状。磁共振检查对人基本无损伤,无放射性,可以有效检查出上述颅内疾病。
首都医科大学三博脑科医院神经外科钱海特别提示眼科、妇产科及内分泌科的患者,如果遇到上面所说的情况,特别是伴有头痛的患者,请在医生指导下进行头部磁共振检查,可能会找到疾病的源头,从而达到满意的疗效。


豫公网安备41010202003260号